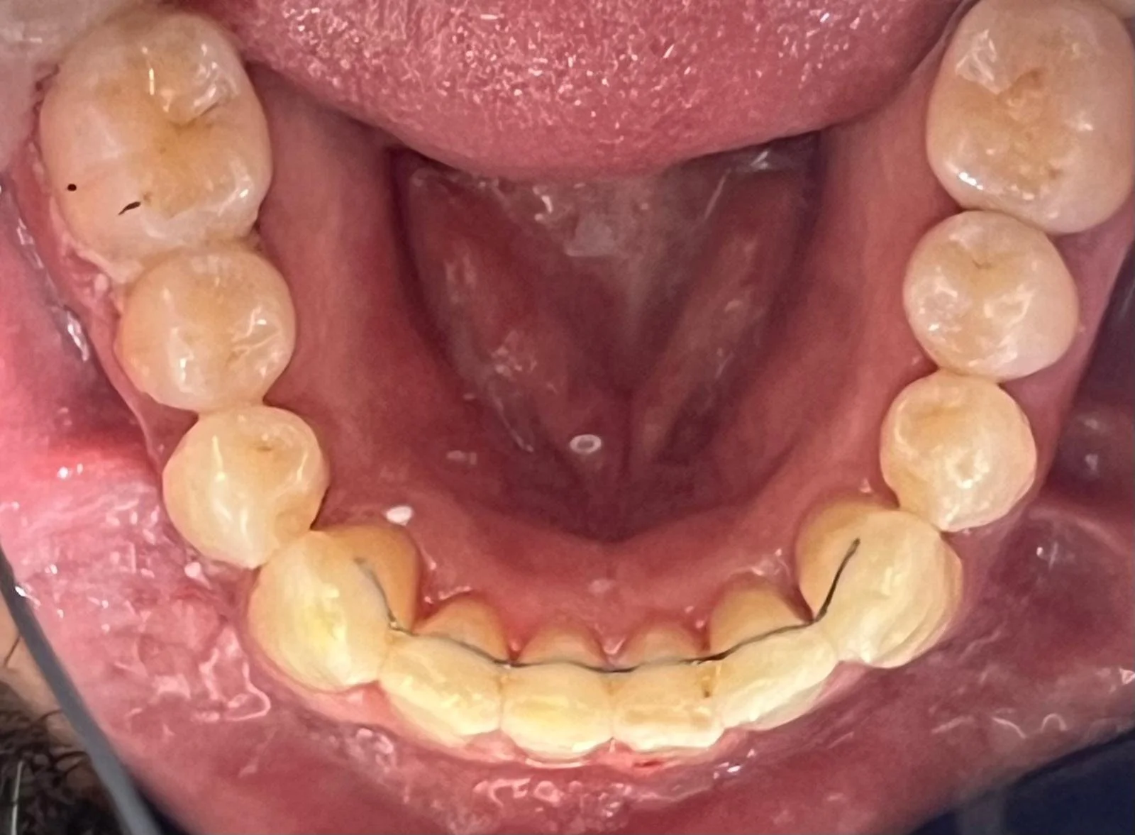
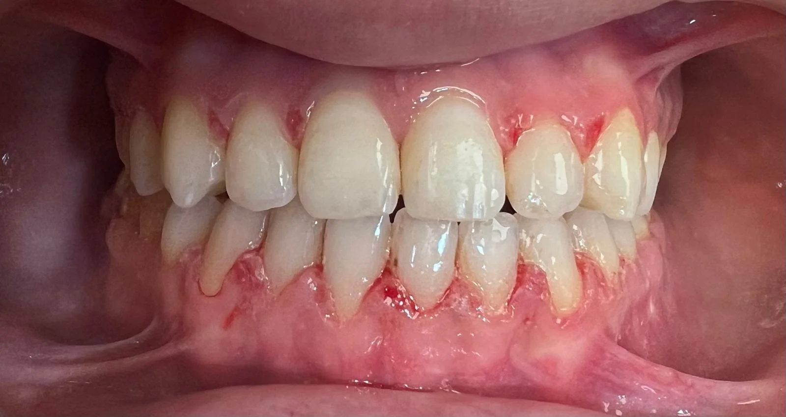
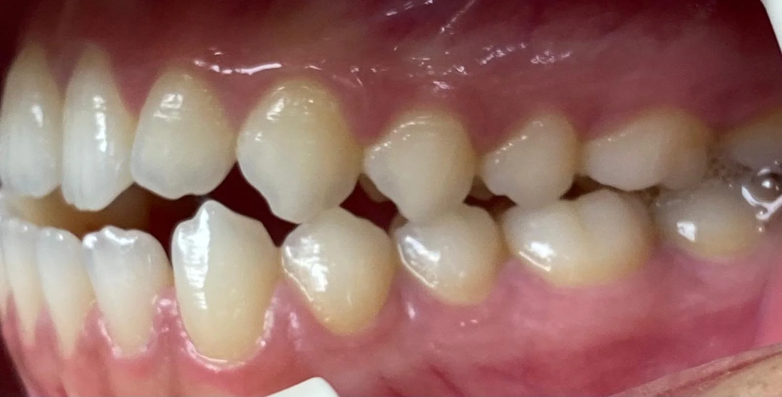
Hybrid orthodontic treatment

- 18 months ( John )

BEFORE TREATMENT

BEFORE TREATMENT

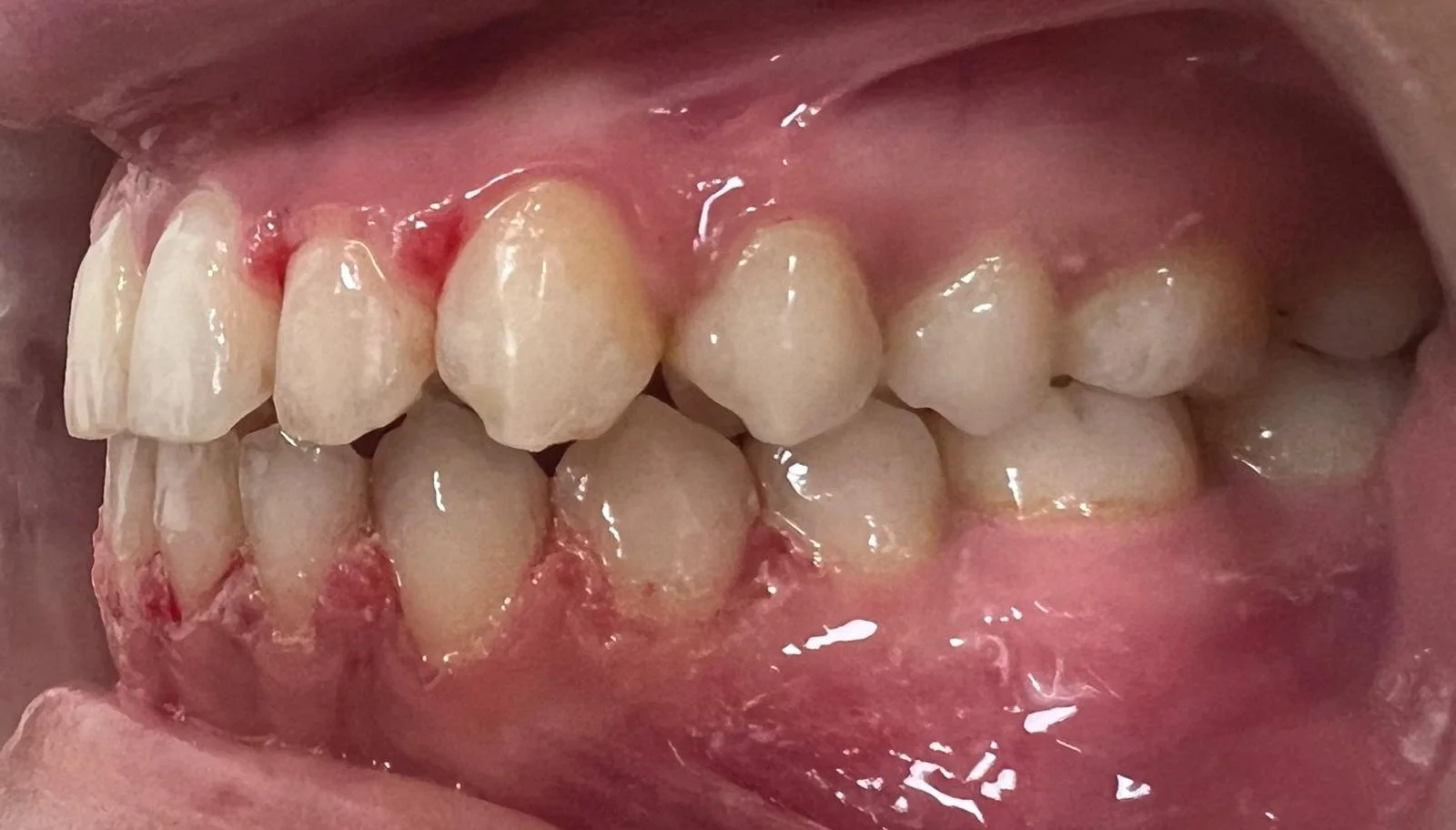
FINAL SMILE

FINAL SMILE

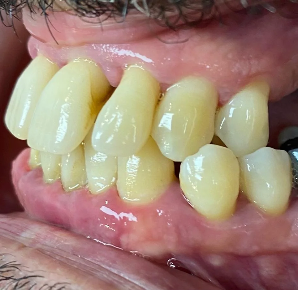
BEFORE TREATMENT

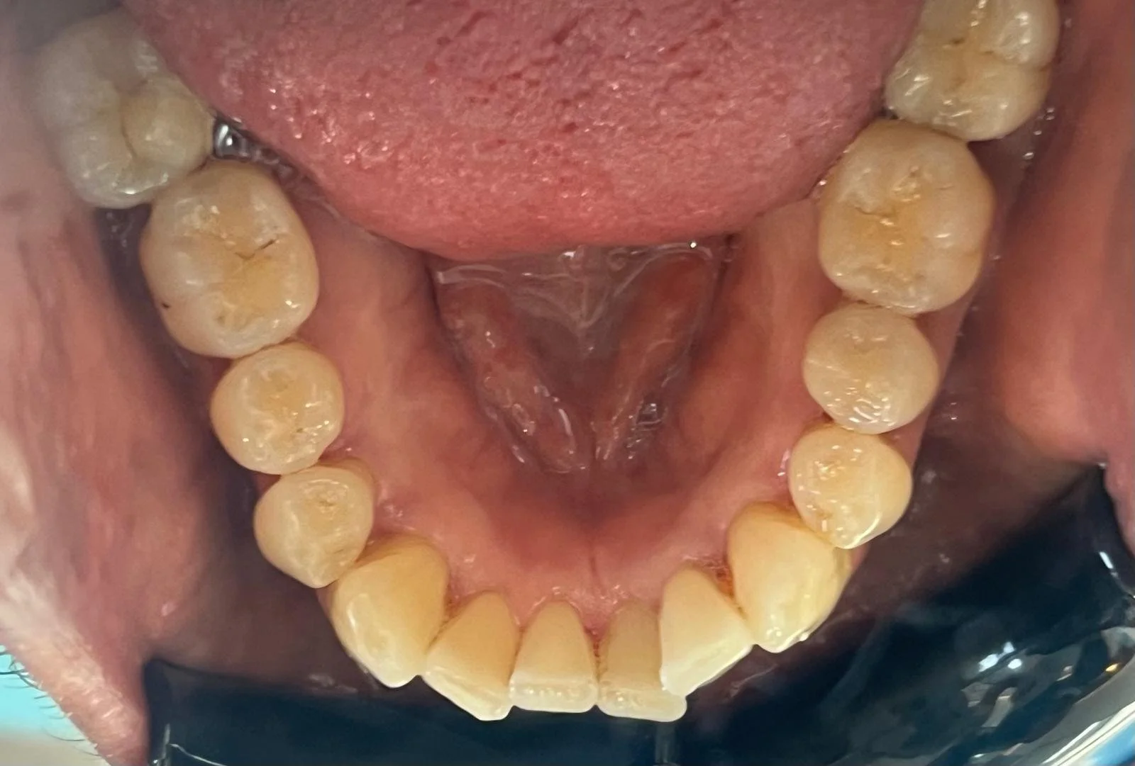
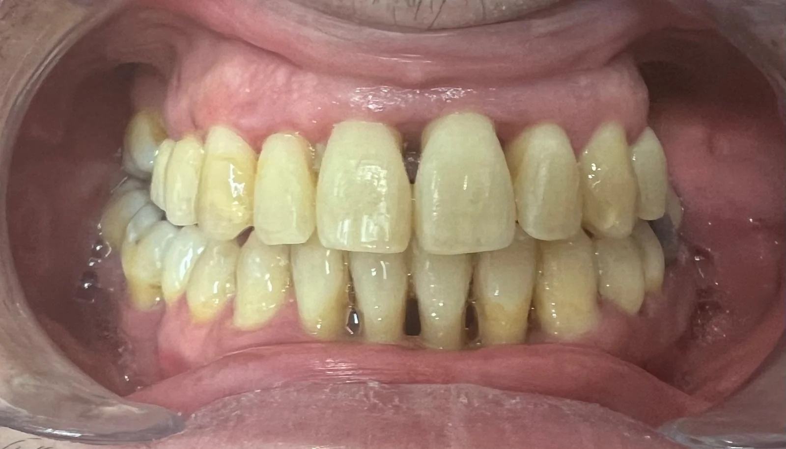
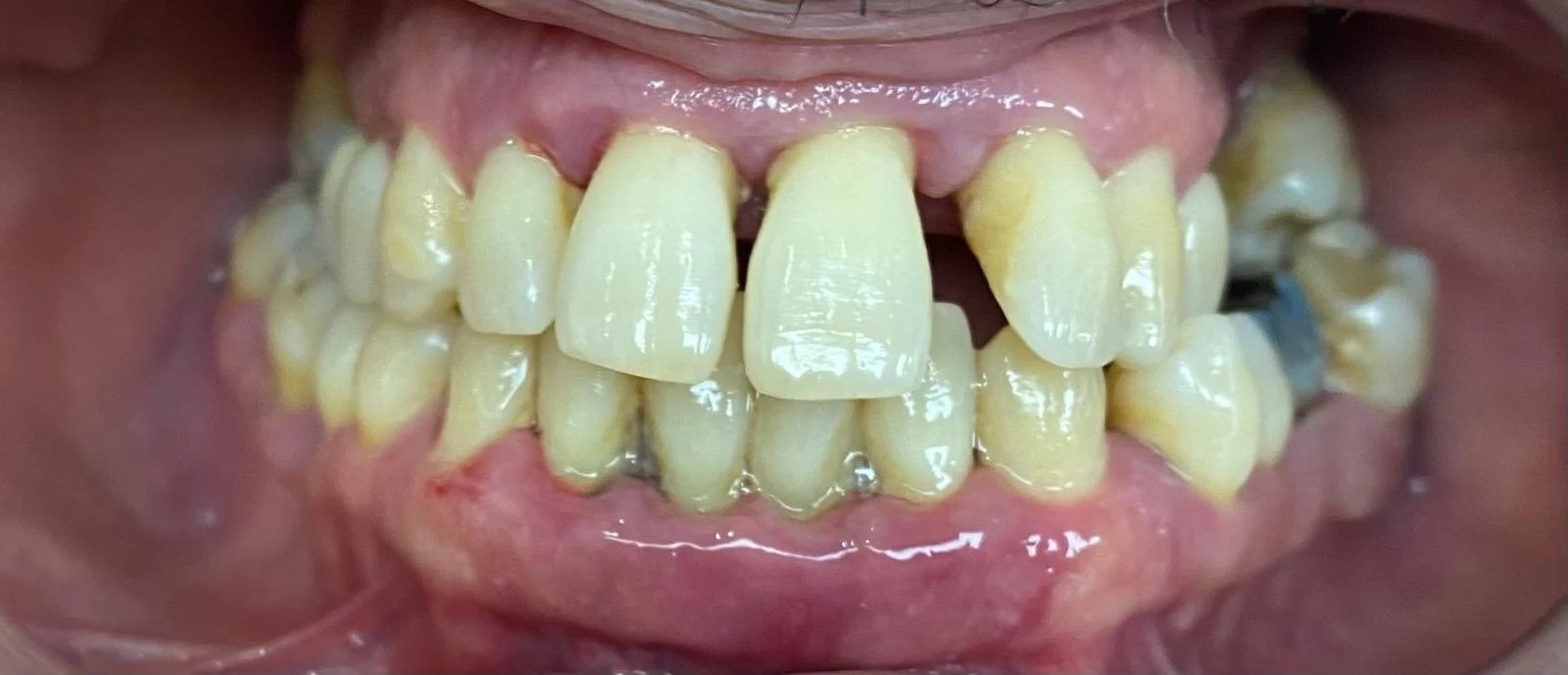
Hybrid orthodontic treatment

- 18 months ( Yakoub )

BEFORE TREATMENT

FINAL SMILE

FINAL SMILE

Braces treatment -

12 months ( Sandrine )

BEFORE TREATMENT

BEFORE TREATMENT

FINAL SMILE

FINAL SMILE

Braces treatment

- 15 months ( Mourrad )

BEFORE TREATMENT

BEFORE TREATMENT

FINAL SMILE

FINAL SMILE

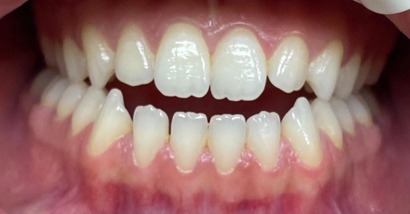
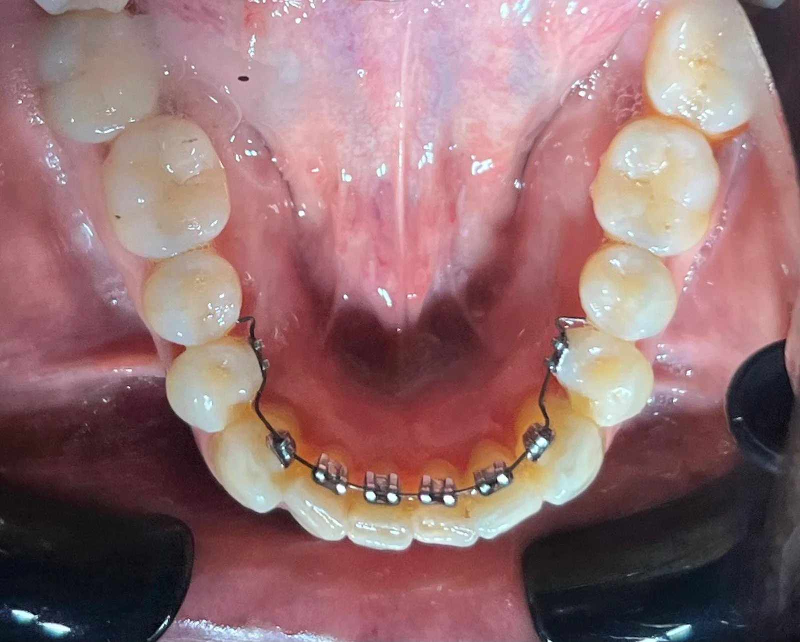
Lingual Braces treatment

- 12 months ( Sandrine )

BEFORE TREATMENT

BEFORE TREATMENT

TREATMENT

FINAL SMILE

Braces treatment

- 15 months ( Mourrad )

BEFORE TREATMENT

BEFORE TREATMENT

FINAL SMILE

FINAL SMILE

Begin Your Smile Transformation

Discover how the TAD Hybrid Method™ can create a personalized orthodontic treatment for your smile.

Schedule a consultation with Dr. Paolo Bellini to receive a detailed orthodontic evaluation and treatment plan.