Hybrid Orthodontic

A modern orthodontic approach that combines advanced techniques to create more precise, efficient, and aesthetic results.

What it is

Hybrid Orthodontics is an advanced treatment approach that combines the benefits of clear aligners with complementary orthodontic techniques when needed.
This allows treatment to be more controlled, more predictable, and often more efficient than aligners alone.

The process

1. Consultation & Smile Assessment
A full evaluation of your teeth, bite, facial balance, and treatment goals.

2. Digital Planning
Your case is analyzed carefully to create a personalized orthodontic strategy.

3. Active Treatment
A combination of aligners and additional orthodontic support may be used, depending on your case.

4. Refinement & Final Smile Outcome
Treatment is refined to achieve a balanced, healthy, and aesthetic result.

Who it is for

Hybrid Orthodontics may be ideal for patients who:

  • want a discreet orthodontic solution

  • have more complex tooth movements

  • want greater control and precision during treatment

  • are looking for a highly personalized approach

Benefits

  • More precise tooth movement

  • Improved efficiency in selected cases

  • Greater control over complex corrections

  • Aesthetic and discreet treatment approach

  • Personalized planning based on each smile

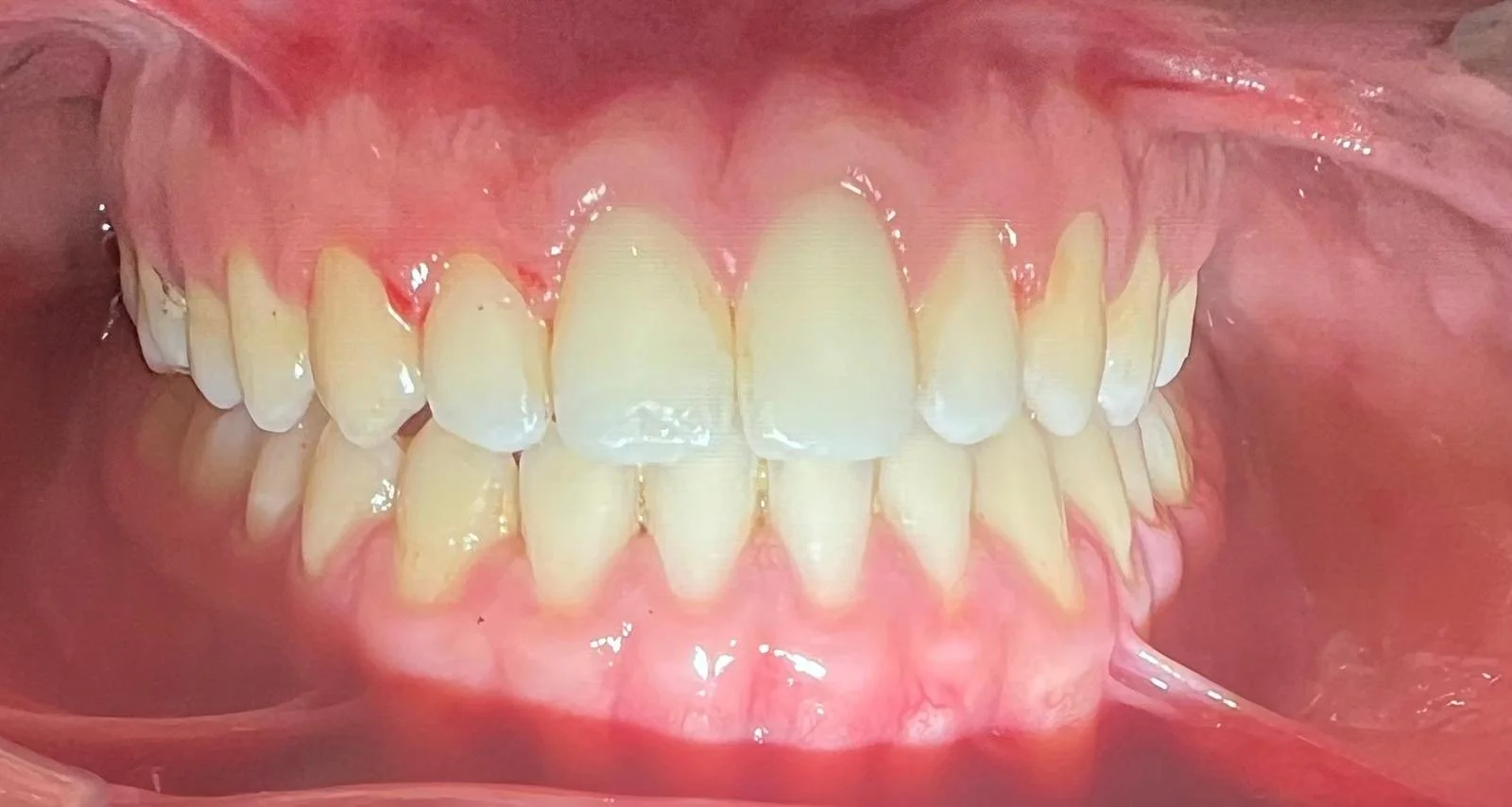
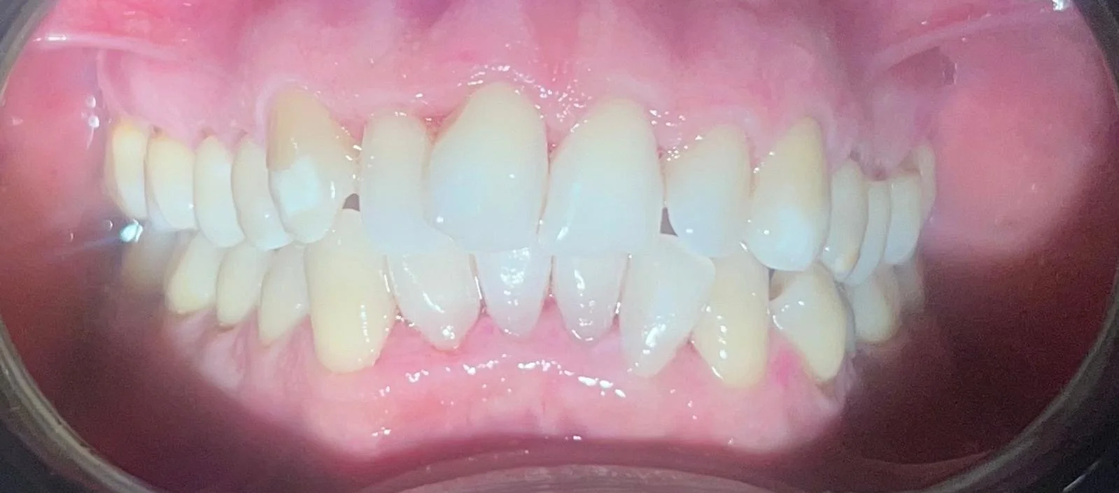
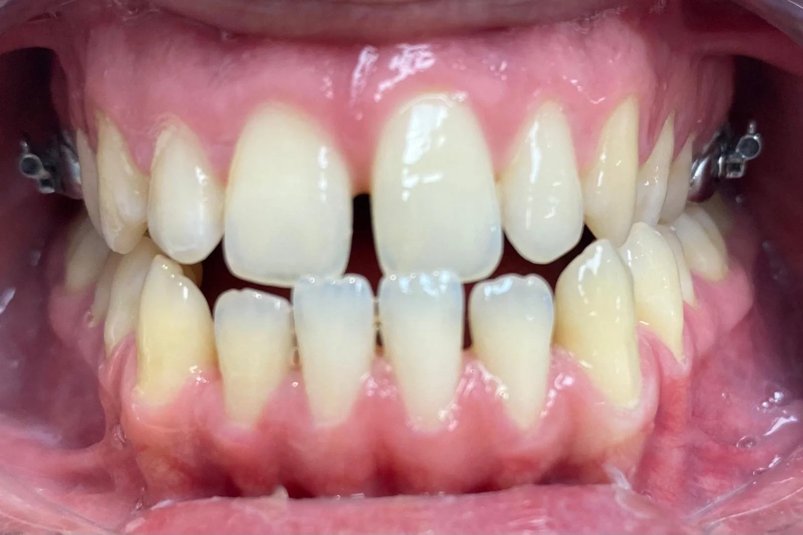
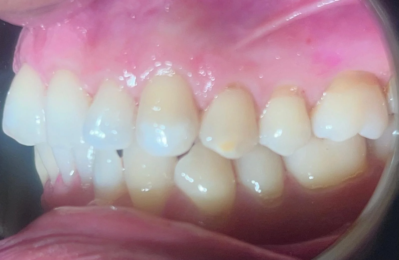
Hybrid orthodontic treatment - 18 months ( John )

BEFORE TREATMENT

BEFORE TREATMENT

FINAL SMILE

FINAL SMILE

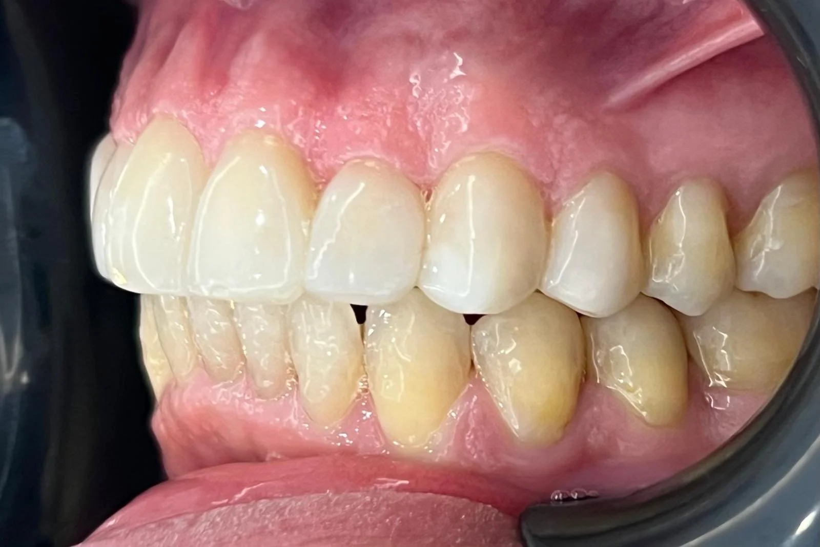
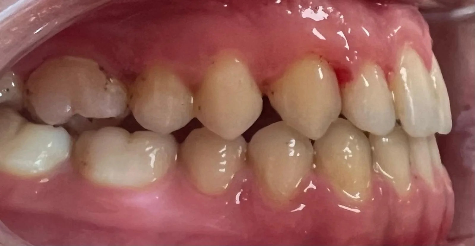
Hybrid orthodontic treatment - 18 months ( Yakoub )

BEFORE TREATMENT

BEFORE TREATMENT

FINAL SMILE

FINAL SMILE

  • "I had previously been told my case would be very difficult to treat with aligners alone. Dr Bellini proposed a hybrid approach and the results were outstanding."

    — Patient, Orthodontic Treatment

  • "Dr Bellini explained the hybrid treatment plan in great detail. I appreciated the level of precision and the final result is exactly what I hoped for."

    — Patient

  • "The hybrid orthodontic treatment allowed my case to progress much faster than expected. The process was smooth and very well managed."

    —Patient, Hybrid Orthodontics

  • "I chose Dr Bellini because of his expertise in complex orthodontic cases. His hybrid method made a real difference in achieving the final result."

    — Patient

  • "What impressed me most was the combination of advanced techniques and the careful attention to every detail."

    — Patient, Orthodontic Treatment

  • "The treatment was extremely precise and clearly planned from the beginning. I always felt confident that I was receiving the best possible care."

    — Patient

Start Your Smile Transformation